SE REALIZÓ CON ÉXITO UNA CIRUGÍA DE PULMÓN PARA EXTRAER UNA AGUJA EN UN JOVEN EN EL HOSPITAL SAN JUAN BAUTISTA

Exitosa cirugía en el Hospital San Juan Bautista para extraer una aguja del pulmón de un joven.
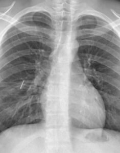
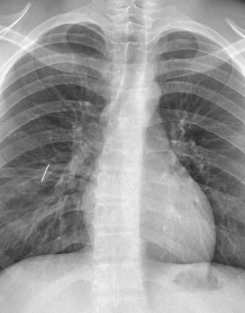
Un equipo médico del Hospital Interzonal San Juan Bautista logró extraer con éxito una aguja alojada en el pulmón de un joven derivado desde Tinogasta.
Tras un trauma penetrante de tórax, el paciente fue sometido a una cirugía abierta de una hora y media, ya que la ubicación del objeto impedía la expansión pulmonar.
El procedimiento destacó por el uso de una técnica de intubación selectiva mediante fibrobroncoscopio, que permitió ventilar un solo pulmón y trabajar con mayor precisión sobre el área afectada.
El Dr. Fernando Lestussi, encargado de la operación, resaltó que la intervención debió resolverse localmente debido al alto riesgo que suponía un traslado.
